Calidad de imagen y precisión garantizada, descubre la tecnología de Rayos X de Perlove
Perlove es líder en tecnología de Rayos X, como el sistema PLX7500. Con imágenes 3D de alta resolución, control inteligente de dosis y amplio volumen de escaneo, nuestros Rayos X brindan una calidad de imagen excepcional y una precisión inigualable en diagnósticos médicos. Descubre la excelencia en imagen radiológica con Perlove, tu elección confiable para la salud.
Conoce el Perlove PLX118C

Alta frecuencia en Rayos X
Ajuste dinámico de dosis durante la fluoroscopia con hardware inteligente y algoritmos de software en bucle cerrado, minimizando la dosis mientras se optimiza la calidad de imagen.
El generador de rayos X de alta frecuencia, desarrollado internamente, logra imágenes excepcionales mediante la frecuencia de pulso ajustable, incluso en pacientes obesos y tejidos densos.
El puerto de navegación sin interrupciones conecta el brazo en 3D con el sistema de navegación o guía robótica de forma inalámbrica. La cirugía guiada por imagen permite enfoques menos invasivos y mayor confianza en la toma de decisiones en el quirófano.

Angiografías parciales
Realiza angiografías parciales, como esofagografías, pielografías y salpingografías, permitiendo obtener imágenes de alta definición y capturar con precisión las lesiones durante la fluoroscopia. Esto evita diagnósticos erróneos y asegura que no se pasen por alto diagnósticos importantes debido a disparos a ciegas. Además, es adecuado para la fluoroscopia de diversas partes del cuerpo, como el pecho y el abdomen, y cumple con las necesidades de todas las áreas del cuerpo humano, incluyendo radiografías de posicionamiento especial.

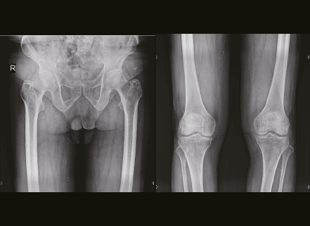
Cosido de imágenes
Un detector dinámico estándar con funcionalidad completa de cosido.
Altamente práctico, de bajo mantenimiento y ahorro de costos para hospitales.
Cosido panorámico de imágenes completas de miembros inferiores o columna vertebral.
Una base confiable para la planificación preoperatoria y la revisión postoperatoria en el tratamiento de deformidades de la columna vertebral y miembros inferiores.

Operación inteligente y experiencia extrema
Sistema operativo de software eficiente y conveniente.
Estación inteligente de adquisición y procesamiento de imágenes, que integra registro, control de fotografía, procesamiento y transmisión de imágenes, impresión de informes, impresión de películas y otras funciones, con un alto grado de integración.
Diseño de menú humanizado que facilita la operación. Permite cambiar de perspectiva y modos de captura con un solo botón para optimizar el flujo de trabajo.
Excelente tecnología de postprocesamiento de imágenes. Reduce eficazmente la dosis y mejora la calidad de imagen.



















